
牙齿意外脱落
牙齿崩裂、缺损
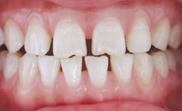
牙缝大、牙列稀疏
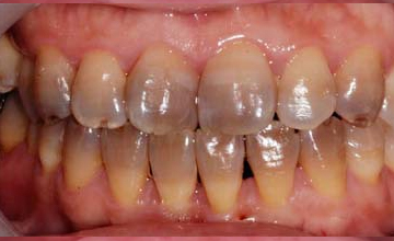
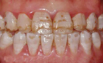
色素牙、死髓牙
牙釉质发育不良
烤瓷牙失败修复


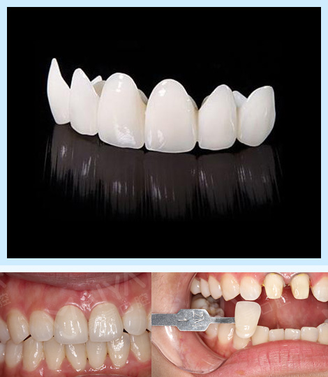
引入全数字化口腔科技,以及德国、美国、瑞典、瑞士等国际生态全瓷材料,根据每个人的脸型、唇形、气质设计牙齿形态、排列状态,为您量齿定制美学、医学、材料学、口腔力学的明星全瓷牙,坚固、耐用、逼真无痕。


正恩独家定制噶“全瓷牙”,係由大陆最大的义齿加工商康泰健定制加工,具备高性价比、色泽彷生、通透自然、媲美真牙、持久耐用

尤其适合牙齿断折、或者根管治疗后牙体修复
牙釉质发育不全,氟斑牙,色素牙,烤瓷牙失败修复


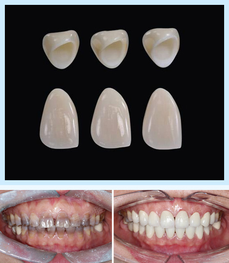
采用全线进口优质瓷块材料,源自德国威兰德、美国LAVA、瑞士泽康、瑞典诺贝尔等国际一线大牌,磨牙量少,逼真通透,美学典范,上镜效果佳,基本可以用二十年以上。

对美观有极高需求的爱美人士选择
尤其适合门牙修复,如门牙断折、门牙牙缝大等


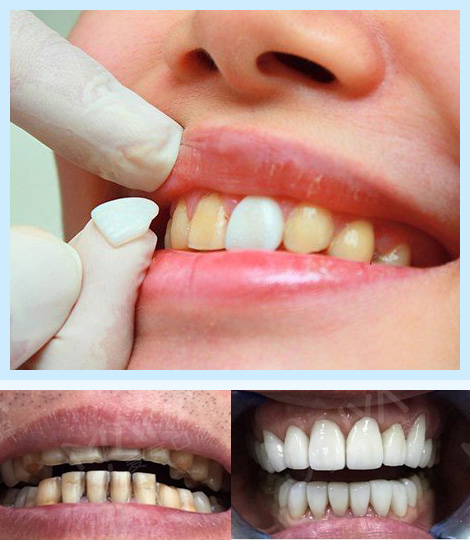
考虑到全瓷牙冠对牙体有一定的磨损量,为了追求更健康、更微创的美牙效果,正恩口腔可以根据患者的牙齿利用数字化工艺定制超薄全瓷贴面,通过化学粘结,达到稳固结合,长久耐用的目的。

牙齿没有大面积缺损,且对牙齿有美观要求的群体
解决色素牙 解决局部缺损 解决牙缝稀疏





深圳市卫生健康委員会
深圳市卫生监督局
深圳市市场监督管理局
中国医师协会
中华口腔医学会
中华医学会
世界卫生组织
瑞典诺贝尔
韩国奥齿泰
德国登士柏西诺德
美国隐适美
中国时代天使
美国3M
中国康泰健
新浪网
深圳都市报
深圳新闻网
优酷视频
网易
凤凰网
腾讯网